Sinusboden-Elevation und Knochenaugmentation
Klinische Fälle
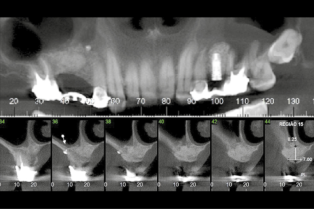
Laterale Sinusboden-Elevation mit Follow-up von 20 Jahren
Klinische Herausforderung
Eine 62-jährige gesunde Patientin wurde zur Extraktion von Zahn 16 an das Schwartz-Arad Chirurgiezentrum überwiesen. Die Patientin wurde 1997 behandelt und über einen Zeitraum von 20 Jahren nachkontrolliert. Interessant ist hier die Region 16. In dieser Region war der 1. Molar aufgrund eines Paro-Endo-Defekts nicht mehr behandelbar. Die Zähne 14 und 15 fehlten ebenfalls. Die vorhandene Brücke erstreckte sich von 13 auf 16. Der verfügbare Alveolarkamm war aufgrund der Pneumatisation der Sinushöhle und der Endo-Paro-Läsion des Zahnes nicht ausreichend für eine Implantation. Die Patientin wünschte eine festsitzende prothetische Restauration. Die klinische Herausforderung war die vertikale Rekonstruktion des Kieferkammvolumens über eine Sinusboden-Augmentation und eine gleichzeitige Ridge Preservation im Zuge der Extraktion von Zahn 16 für eine spätere Implantation.
Klinisches Ergebnis auf einen Blick
Ziele
- Sinusboden-Elevation durch ein laterales Fenster.
- Knochenaugmentation der Sinus maxillaris Höhle und Implantatinsertion 5 Monate später.
Schlussfolgerungen
- Zweizeitige Therapie mit Sinusboden-Elevation.
- Sinusboden-Elevation mit Geistlich Bio‑Oss® und Geistlich Bio‑Gide® führt zu langfristigem klinischem Erfolg.
- Perfekte prothetische Situation bei Nachkontrolle nach 20 Jahren.
Ziel/Ansatz
Lateraler Fenster-Ansatz1
Prophylaktische orale Prämedikation von Amoxicillin (1 g) und Dexamethason (8 mg) eine Stunde vor der Operation sowie lokale Anwendung von 0,5% Chlorhexidin für 2 Min. Es erfolgte eine Inzision am Alveolarkamm sowie eine vertikale Inzision distal der Tuberositas, um Knochen aus dieser Region zu entnehmen, der mit Geistlich Bio-Oss® gemischt wurde. Mit einem Rosenbohrer wurde bei niedriger Drehzahl ein Fenster durch die Kortikalis der lateralen Sinuswand präpariert. Dann wurde die Schneidersche Membran vorsichtig vom Sinusboden und der medialen Sinuswandab gehoben. Eine entstandene Perforation der Membran konnte mit Geistlich Bio-Gide® repariert werden. Da keine primäre Implantatstabilität erreicht werden konnte, wurde eine verzögerte 2-zeitige Implantation 5 Monate später durchgeführt. Das Kieferhöhlen-Kompartiment wurde mit Geistlich Bio-Oss® augmentiert. Die fenestrierte laterale Wand des Sinus wurde mit einer Geistlich Bio-Gide® Membran abgedeckt, der Mukoperiostlappen reponiert und mit einer 3/0 Vicryl-Naht vernäht.
Schlussfolgerung
Dieser Fall, mit einer Nachkontrolle über 20 Jahre, ist nur ein Beispiel für die vielen Patienten mit insuffizienten Alveolarkämmen, die im Schwartz-Arad Chirurgiezentrum mit Geistlich Bio-Oss® behandelt wurden. Die Sinusboden-Elevation mit Geistlich Bio-Oss® und Geistlich Bio-Gide® ist ein langfristiger, vorhersagbarer Behandlungsansatz. Die Perforation der Schneiderschen Membran beeinflusste den Implantaterfolg nicht negativ, da sie mit Geistlich Bio-Gide® korrigiert wurde.
Referenz:
- Schwartz-Arad D et al., 2004. J Periodontol. Apr;75(4):511-6 (Clinical study).
Kombination mit 3-D-Technik nach F. Khoury
Klinische Herausforderung
Im Bereich des anterioren Oberkieferswurde eine pneumatisierte Sinushöhlefestgestellt.
Aufgrund des atrophierten Alveolarkamms war es nicht möglich, das Implantat in einer korrekten Position zu setzen, um eine angemessene ästhetische Rehabilitation zu erreichen.
Klinisches Ergebnis auf einen Blick
Ziele
- Laterale Sinusboden-Elevation in Kombination mit Knochenregeneration mit der 3-D-Technik nach F. Khoury.
- Festsitzende prothetische Restauration im anterioren Oberkiefer.
Schlussfolgerungen
- Zweizeitige Therapie mit Sinusboden-Elevation.
- Sinusboden-Elevation mit Geistlich Bio‑Oss® erhält das Knochenvolumen in der augmentierten Region langfristig.
- Werden autologe Knochenchips mit Geistlich-Bio-Oss® Partikeln kombiniert, verringert sich die Resorptionsgeschwindigkeit des Augmentats.
Ziel / Ansatz
Eine laterale Sinusboden-Elevation mit Geistlich Bio‑Oss® wurde im Bereich des rechten Eckzahns/Prämolaren durchgeführt. In diesem Fall ermöglicht der laterale Fensteransatz eine bessere Blutversorgung in der rekonstruierten Region.
Nach der Sinusboden-Elevation wurde eine Rekonstruktion des Alveolarkamms mit 3-D-Technik nach F. Khoury durchgeführt. Der Knochenblock wurde aus dem Ramus entnommen. Nach der Präparation der beiden Knochenblöcke wurde jeder mit einer Schraube in der oberen Frontzahnregion fixiert. Die restlichen Hohlräume zwischen den Blöcken und darum herum wurden mit einer Mischung aus Geistlich Bio‑Oss®Partikeln und autogenen Knochenchips gefüllt.
Schlussfolgerung
Die Sinusboden-Elevation mit Geistlich Bio‑Oss® Partikeln bewirkt ein langfristig stabiles Knochenvolumen im regenerierten Bereich. Sie bietet dem Patienten eine komfortable und vorhersagbare Lösung.
Die Rekonstruktion des Alveolarkamms mit der 3-D-Technik nach F. Khoury in Kombination mit der Verwendung von Geistlich Bio‑Oss® minimiert das Volumen / die Größe des zu entnehmenden Knochenblocks. Aufgrund der langsamen Resorption von Geistlich Bio‑Oss® Partikeln bleibt das Knochenvolumen und damit das ästhetische Resultat erhalten.
Referenz:
-
Hürzeler MB1, Weng D, 1999. Int J Periodontics Restorative Dent. Jun;19(3):279-87 (Clinical study).
Kombination mit gesteuerter Knochenregeneration
Klinische Herausforderung
Ein schwieriger Fall einer oralen Rehabilitation mit einer besonderen Herausforderung in den Regionen 15 und 16. Der Patient hatte einige Jahre zuvor einen Autounfall gehabt und war in diesem Bereich verletzt worden. Dies führte zu einer anatomischen Veränderung des Sinus mit teilweisem Verlust der bukkalen Sinuswand und Narbengewebe in einem Teil des Sinus.
Klinisches Ergebnis auf einen Blick
Ziele
- Anspruchsvoll aufgrund der durch den früheren Autounfall verursachten anatomischen Abweichungen.
- Sinusboden-Elevation mit lateralem Fensteransatz in Kombination mit einer gesteuerten Knochenregeneration.
- Implantatinsertion 10 Monate nach Knochenaugmentation.
Schlussfolgerung
- Zweiseitige Therapie mit Sinusboden-Elevation.
- Eine Sinusboden-Elevation in Kombination mit einer gesteuerten Knochenregeneration unter Verwendung von Geistlich Bio‑Oss® undGeistlich Bio‑Gide® führt zu einem stabilen Knochenvolumen für die Implantatinsertion.
Ziel / Ansatz
Während der Aufklappung wurde das Narbengewebe freigelegt und zum Teil entfernt. Nach diesem Schritt wurde eine Geistlich Bio‑Gide® Membran eingebracht, um das im oberen Teil der Sinushöhle vorhandene fibrotische Gewebe zu isolieren. Dann wurde die Schneidersche Membran in der mittleren Region des Sinus angehoben. Die Sinushöhle wurde mit Geistlich Bio‑Oss® gefüllt, das auch zur Regeneration des Kieferkammdefekts verwendet wurde. Geistlich Bio‑Gide® wurde bukkal mit Knochennägeln stabilisiert und unter den palatinalen Lappen gestopft.
Schlussfolgerung
Dieser Ansatz ermöglichte die Regeneration sowohl des Sinus als auch des Knochendefekts in einem Eingriff.